
Procedures
Root Canal

Years ago, the only solution to diseased or damaged teeth were to remove them. Now, with a special dental procedure called root canal therapy you may save the tooth. Inside each tooth is the pulp, which provides nutrients and nerves to the tooth; it runs like a thread down through the root. When the pulp is damaged, the pulp tissue dies. If you don’t remove it, your tooth becomes infected and you lose it. During root canal therapy the dentist removes the pulp, cleans out the canals and then seals the tooth for protection. The dentist then places a post and crown over the tooth to help make it strong.
Contrary to popular belief, a root canal is a relatively simple procedure with little or no discomfort involving one to three visits. Most importantly, you can save your tooth and your smile!!
There are a number of reasons why you may need to have a tooth removed (a tooth extraction). Some of these reasons are if your tooth has decay and is infected, fractured, severe gum disease, or if you do not have enough space for your teeth at the back of your mouth (impacted wisdom teeth). Once the tooth is extracted, your dentist or dental assistant will review post extraction procedures to follow, in most cases a small amount of bleeding is normal.
Before you have your tooth extracted it is important to discuss with the dentist all the different options that you have to replace the tooth.
Crowns and Bridges

Crowns and bridges are fixed prosthetic devices. Unlike removable devices such as dentures, which you can take out, crowns and bridges are cemented onto existing teeth or implants, and can only be removed by a dentist.
A dental crown/bridge is a cap like restoration used to cover a damaged tooth. Crowns and bridges can give support to deformed or badly broken teeth and permanently replace missing teeth to complete a smile or develop a better bite pattern.
During preparation for crowns and bridges, the tooth (or teeth) must be reduced in size so that the crown or bridge will fit. After the tooth structure has been reduced, the dentist will take an impression and determine the shade of the crown or bridge to match the color of your existing teeth. The impression and shade will be sent to a dental lab for fabrication of crown or bridge. A temporary crown or bridge will be placed to protect the prepared teeth while the crown or bridge is being made. When the permanent crown or bridge is completed the temporary is removed and the new crown/bridge is cemented over your prepared tooth or teeth.
Overdentures

The word overdenture means that the complete denture fits "over" the remaining roots in the mouth. This procedure though not always possible is usually preferred to complete dentures wherein all the teeth are removed and the dentures rest completely on the gums or soft tissues. In contrast, an overdenture rests on soft tissue as well as retained roots. These roots have had root canal therapy and are later fitted with special attachments that help retain or hold the denture into its position once healing from surgery is complete.
Many times it is necessary to have a "training or temporary denture" constructed until the healing is complete and adjustments are made as needed. After healing, attachments are placed in the remaining roots, and a second and final denture is constructed containing an internal metal framework, which adds strength, facilitates retention and allows for any changes not desired in the temporary.
During the interim healing phase, the gum shrinks away from the denture as the body heals. As this process occurs the denture will increasingly become looser. A chairside soft reline will be done on this temporary denture as healing takes place. Dr. Snyder will periodically adjust the height of the remaining root tips as they seemingly become longer as the gum heal. Until the attachments are placed you will essentially be wearing a complete overdenture but without the benefit of any attachments to aid in making it secure.
When Dr. Snyder has determined that healing is complete (usually 4-6 months), the root tips are prepared, attachments placed and the denture either relined or a new final denture constructed to accommodate the new soft tissue levels and attachments. Over time, the nylon attachments in the denture will need to be replaced. How often is dependent on a multitude of factors. There is a nominal fee for this and it is usually accomplished chairside. Occasionally the metal attachments in the root may also wear out, become loose, need to be remade or in rare cases fracture the root and require extraction and a relining of the denture. Even with these potential problems, overdentures usually perform well for several years with little maintenance required.
Implants

Crowns and conventional bridges or dentures may not be your only options when replacing missing teeth. For some patients, dental implants offer much more than a smile that looks and feels very natural. Surgically positioned below the gums, over a series of appointments with an oral surgeon, implants are fused to the jawbone and serve as a foundation for individual replacement teeth, bridges or a denture. Single teeth or a full arch of teeth, which have been extracted due to injury or disease and replaced with a removable bridge, can be replaced with dental implants. The teeth can be replaced by a non-removable, fixed bridge or by an overdenture that may help with facial support. Implants are very durable, will last many years, and require the same "maintenance" as real teeth, including brushing, flossing and regular dental check-ups.
A thorough evaluation by your dentist will help decide whether you are a good candidate for dental implants.
Partial Dentures

A partial denture is a removable appliance that replaces missing teeth. It is held in place by your existing teeth. It is important that these teeth be healthy in order to support your partial that is why they may need treatment (crown and bridgework) prior to making the partial. Removable partial dentures usually consist of replacement teeth attached to pink or gum-colored acrylic bases, which are connected by metal framework.
Sealants
A sealant is an adhesive material that bonds with the tooth to give a physical barrier or shield from threats to the health of teeth. Sealants are usually applied to permanent back teeth that have just erupted. In same cases, sealants can be applied to baby teeth and to adult teeth. During the procedure, teeth are first cleaned and isolated. The teeth that are chosen for sealants are etched, (a chemical that helps the sealant bond to the tooth) rinsed and dried. Sealants are applied to teeth with a brush, tiny sponge, or syringe-like applicator. An ultraviolet, handheld device will be used to harden the sealants. Any excess sealant is removed, and then the sealant is checked for hardness. Sealants are usually long-lasting if the seal remains intact. Harsh foods such as candy, ice, or sticky foods, can damage sealants and should be avoided. It is very important to apply sealants as soon as the permanent teeth erupt. Decay will not start under a sealant because bacteria are deprived of the food and oxygen they need to flourish.
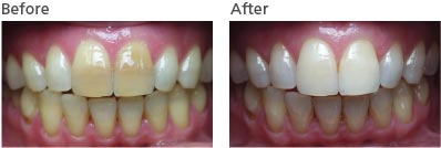
POLA Advanced Tooth Whitening System


Pola is a tooth whitening system available through your dentist, to safely whiten the discolorations in the enamel of your teeth. Discolorations due to age, coffee, red wine, tobacco, colored foods, some medications, disease, injury or medical treatments are easily removed with the Pola Tooth Whitening system.
Pola tooth whitening system offers a variety of treatment options, available through your dentist, to suit your needs and lifestyle;
- In Your Dentist Office: Higher whitening strength for immediate results
- Take Home: At home whitening for your convenience
- On the Go: Quick touch ups wherever, whenever.
Speak with Dr. Snyder to discuss the best whitening option to suit your needs.
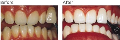
Veneers

Veneers can give you a beautiful smile without removing any tooth structure!
Veneers can get you the smile you've always wanted, but were not blessed with. Thousands of people who want to look and feel better about themselves have chosen to correct their smiles with Veneers.
Veneers can correct the following:
- Tooth Discoloration
- Noticeable Gaps
- Permanent Stains
- Broken or Misshapen Teeth
- Veneers can even bond to existing crowns and bridgework without having to replace them.
Veneers require no shots or discomfort, no removal of tooth structure and are comfortable for sensitive patients.
Veneers are thin porcelain shields that are bonded to the front of your teeth to create dramatic changes in your smile. Veneers typically require only two dental visits. Please ask about how Veneers can change your smile during your next visit.